Gindodia Hospital Datta Mandir Deopur Dhule
08048035186
+917498080315

Mucogingival Treatment in Dhule – Advanced Gum Care at Gindodia Hospital

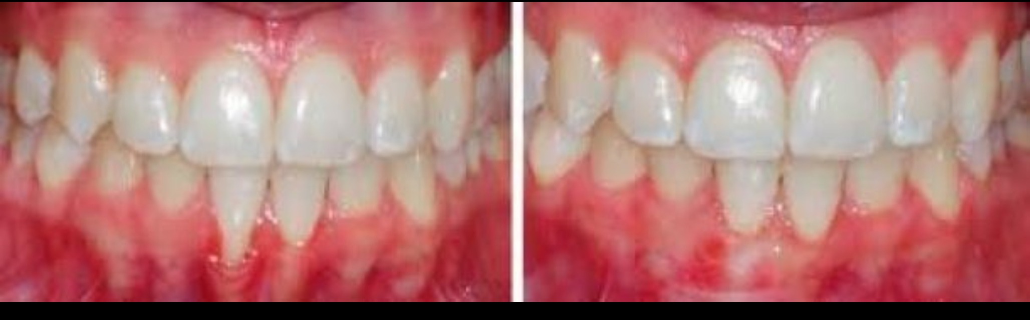
Gindodia Hospital is a leading dental and healthcare facility in Dhule, offering advanced mucogingival treatment to patients suffering from gum-related issues. Healthy gums are the foundation of strong teeth, and mucogingival problems can affect both oral health and appearance. Our team of expert dentists and periodontists specialize in diagnosing and treating these conditions with precision, ensuring better gum health and long-lasting results.

What is Mucogingival Treatment?

Mucogingival treatment refers to a range of dental surgical procedures aimed at correcting problems with the gums, especially when there is inadequate gum tissue around the teeth. These treatments focus on improving gum thickness, covering exposed tooth roots, and enhancing the function and appearance of the gums.

Common conditions requiring mucogingival therapy include:

Gum recession

Thin or insufficient gum tissue

Exposed tooth roots

Pocket formation around teeth

Esthetic concerns due to uneven gum lines

Benefits of Mucogingival Treatment

Protects teeth from sensitivity and decay caused by gum recession.

Improves gum health and prevents periodontal diseases.

Enhances the overall appearance of your smile.

Strengthens the foundation of teeth for better oral health.

Long-term protection for exposed roots and supporting bone.

Book Your Consultation Today

If you are experiencing gum recession, tooth sensitivity, or uneven gums, it’s time to seek expert care. At Gindodia Hospital, Dhule, our specialized team is committed to delivering effective mucogingival treatment to restore your oral health and confidence.

Contact us today to book your appointment and take the first step toward healthier gums and a brighter smile.

 2025-10-16T05:55:28

Keywords

footerhc