Gindodia Hospital Datta Mandir Deopur Dhule
08048035186
+917498080315

PRP Therapy: Gindodia Hospital's Revolutionary App...

PRP Therapy: Gindodia Hospital's Revolutionary Approach to Submucous Fibrosis Treatment


Revolutionize Submucous Fibrosis Treatment with PRP Therapy at Gindodia Hospital

Combat Oral Health Challenges: Gindodia Hospital's Expert PRP Submucous Fibrosis Solutions

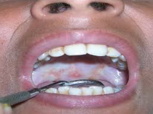
Submucous fibrosis can pose significant challenges to oral health and overall well-being. At Gindodia Hospital, situated in Datta Mandir Deopur Dhule, we offer a groundbreaking approach to submucous fibrosis treatment: Platelet-Rich Plasma (PRP) therapy.


Harnessing the healing properties of your body's own platelets, PRP therapy stimulates tissue regeneration and accelerates healing, promoting relief from submucous fibrosis symptoms. Our experienced specialists customize treatment plans to address your specific concerns, ensuring optimal outcomes and improved oral function.


Take control of your oral health with Gindodia Hospital's advanced PRP therapy for submucous fibrosis. Experience lasting relief and enhanced well-being with our cutting-edge solutions.


PRP Therapy Dhule, Oral Health, Submucous Fibrosis Treatment


 2024-05-21T07:50:46

Keywords

footerhc